ホワイトニング
このページの目次
歯や口元をより美しくするホワイトニング治療

白く整った歯は、健康的な印象を与え、笑顔や表情をより魅力的にしてくれます。そのため、アメリカなどの歯科先進国では、歯並びや歯の色は身だしなみとされ、男女共に多くの方がホワイトニングをしています。ホワイトニングは歯を削ることなく、薬剤によって歯磨きなどでは落とせない黄ばみや色素を取り除き、自然な白さにすることができます。現在、歯の色でお悩みの方はぜひ、ホワイトニング治療をご検討ください。
ご自宅で歯を白くできるホームホワイトニング
ホームホワイトニングは、ご自宅などで患者さま自身に行っていただくホワイトニングです。ホームホワイトニングで使用するマウスピースの作製や口腔内の検査などで数回の通院が必要ですが、準備が整った後は空いた時間などを利用してご自身のタイミングでホワイトニングを行っていただけます。
ホームホワイトニングは薬剤の濃度が低く、白くなるまでに多少の時間が必要ですが、じっくりと色素を取り除くため、後戻りしにくいのが特徴です。
歯がしみにくいオパールエッセンスを採用しています
ケンゴデンタルクリニックのホームホワイトニングは、歯科先進国アメリカで愛用されているウルトラデント社のオパールエッセンスを採用しています。
オパールエッセンスのホワイトニングジェルは、粘度が高く歯面に良く馴染むため、低刺激でありながら効率良く歯を白くすることができます。また、ADA(アメリカ歯科協会)やFDA(アメリカ連邦食品衛生管理局)にて、ホワイトニング効果や安全性についても認められています。
ホームホワイトニング「オパールエッセンス」の特徴
ホワイトニング効果が高く、短期間で白さを実感できる
施術中に痛みを感じにくい
知覚過敏になりにくい
効果の持続性があるため、後戻りしにくい
実績があり、効果や安全性が認められている
ホームホワイトニングの流れ
診断・カウンセリング

ホワイトニングを問題なく行っていただくため、カウンセリングをはじめ、虫歯や歯周病の有無、歯の欠けなど、口腔内の状態をチェックします。施術前の歯の色を確認いただき、必要な場合には歯石の除去やクリーニングを行います。
マウスピースの作製

ホワイトニングで使用するマウスピースを作製するため、歯型を採取します。数日後、完成したマウスピースをお口に装着して使用感を確認していただきながら、詳しい施術方法や注意点などをご説明します。
ホワイトニング開始

マウスピースにホワイトニングジェルを入れて、お口に装着します。施術時間(目安2~8時間)が経過しましたら、マウスピースを外し、ブラッシングでジェルを流して終了です。この流れで2週間ホワイトニングを行っていただきます。
ホワイトニング治療の注意点・リスクについて(※一例です)
- ホワイトニングの効果には個人差があります。
- 施術中や施術後、一時的に痛みを感じたり、歯がしみたりする場合があります。
- 妊娠中、授乳中、無カタラーゼ症(ホワイトニング剤に含まれる過酸化水素が分解できない病気)の方はホワイトニングを受けることができません。など。
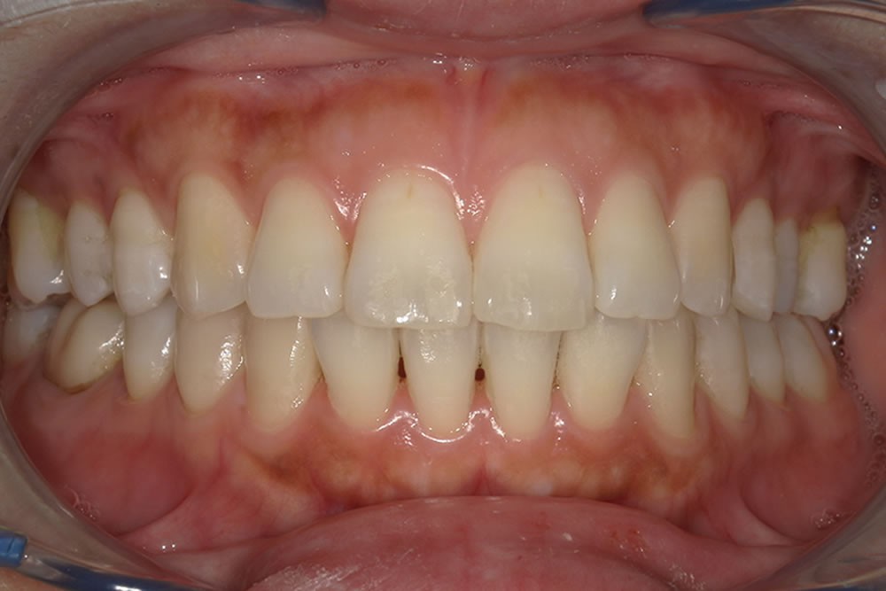
ホームホワイトニングで歯の色調を改善した症例
▼ケンゴデンタルクリニックで実施したホームホワイトニングの症例をご紹介します。
歯を白くしたいという主訴で来院された患者さまです。ホワイトニング治療について説明を行い、歯の白さを改善することに同意を得ました。口腔内検査、歯石を取り除いた後、歯型を取ってカスタムトレーを作成します。完成したカスタムトレーにホワイトニングジェルを入れ、上下の歯に装着します。
1ヶ月後、ホワイトニングの効果、知覚過敏の有無を確認しました。歯の黄ばみがやや改善し、知覚過敏もなくホワイトニング効果も認められ、患者さまは大変喜んでおられました。
| 年齢・性別 | 50代 女性 |
|---|---|
| 治療期間 | 約1ヵ月 |
| 治療回数 | 2回 |
| 治療費 | 38,500円(税込) |
| リスクなど | ・知覚過敏の発現。 ・歯の色の後戻りがあります。 ・トレーが破損する可能性があります。 ・白さを保つには継続したホワイトニングが必要です。 ・ホワイトニングに保証はありません。 |
ホワイトニングの治療費
※下記すべて税込となります。
| 名称 | イメージ | 特性 | 料金(税込) |
|---|---|---|---|
| ホームホワイトニング | ![]() |
自宅で行うホワイトニングです。安全なホワイトニング剤をマウストレーに注入し、夜間装着してホワイトニングを行います。歯科医院より薄い薬液を使用するため効果はゆっくりと表れますが、白さが定着するため後戻りしにくいです。 | 上下 38,500円 |
| 追加ジェル | 2本組 | 2,200円/1本 | |
甲賀市水口で歯のホワイトニングをご希望の方へ

ケンゴデンタルクリニックでは、歯の黄ばみが気になる方へご自宅で気軽にできるホームホワイトニングを行っています。甲賀市水口で歯のホワイトニングをご希望の方へぜひ、貴生川駅すぐの当院までお気軽にご相談ください。





