前歯のセラミック治療症例
セラミックによる前歯の審美修復治療の症例
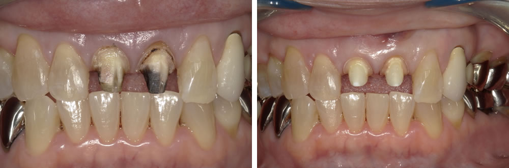
前歯を新しくしたいとのことでご来院された患者さまです。経年変化により、歯肉が下がり被せ物の適合は悪くなっています。また、色調が不自然で見た目も良くありません。患者さまと相談の上、セラミック修復することに同意を得ました。
被せ物を除去すると虫歯、歯の変色が確認できました。一先ず、根管治療を実施し、ファイバーポストを用いて歯の補強、歯型を取るために歯の形態を整えました。歯肉は腫れもなく問題ない状態です。
製作したセラミックを前歯に装着し、治療完了です。歯肉に腫れもなく、歯の色も自然な色調で審美的問題も改善されました。
| 年齢・性別 | 60代 女性 |
|---|---|
| 治療期間 | 約3ヵ月 |
| 治療回数 | 約12回 |
| 治療費 | クラウン 165,000円/税込×2 ファイバーポスト 16,500円/税込×2 ※根の治療(根管治療)/別途保険診療 |
| リスクなど | ・セラミックが割れることがある ・根の再治療が必要になることがある |




